Как можете да подобрите и засилите имунната си система? Като цяло вашата имунна система върши забележителна работа, като ви защитава срещу болестотворните микроорганизми. Но понякога се проваля: микробът нахлува успешно и ви разболява.
Възможно ли е да се намесите в този процес и да засилите имунната си система? Ами ако подобрите диетата си? Да приемате определени витамини или билкови препарати? Направете други промени в начина на живот с надеждата да предизвикате почти перфектен имунен отговор? Например започнете с фитнес!
Какво можете да направите, за да засилите имунната си система?

Все още има много неща, които изследователите не знаят за сложността и взаимосвързаността на имунния отговор. Засега няма научно доказани преки връзки между начина на живот и засилената имунна функция. Но това не означава, че ефектите от начина на живот върху имунната система не са интригуващи и не трябва да се изучават. Изследователите проучват ефектите от диетата, физическите упражнения, възрастта, психологическия стрес и други фактори върху имунния отговор при хората.
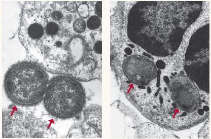
Имунитет в действие (снимка):

Здравата имунна система може да победи нахлуващите патогени, както е показано на снимката, където две бактерии, причиняващи гонорея, не могат да се сравнят с големия фагоцит, наречен неутрофил, който ги поглъща и убива (вижте стрелките).
Здравословни начини за укрепване на имунната ви система
Вашата първа линия на защита е да изберете здравословен начин на живот. Спазването на общите насоки за добро здраве е единствената най-добра стъпка, която можете да предприемете, за да поддържате имунната си система естествено здрава и здрава. Всяка част от тялото ви, включително имунната ви система, функционира по-добре, когато е защитена от нападения от околната среда и подкрепена от здравословни стратегии за живот като тези:
- не пушете
- яжте в диетата повече зеленчуци, от колкото плодове
- упражнявайте се във фитнес зала редовно
- поддържайте здравословно тегло
- ако пиете алкохол, пийте само умерено
- осигурете адекватен сън
- предприемете стъпки, за да избегнете инфекция, като често миене на ръцете и старателно гответе всички продукти храни (т.е. яжте ваша хранам а не такава от улицата или ресторанти)
- опитайте се да сведете до минимум стреса
Повишете имунитета по здравословен начин
Много продукти на рафтовете на магазините за хранителни стоки и хранителни добавки „твърдят“, че повишават или поддържат имунитета. Но концепцията за повишаване на имунитета всъщност няма смисъл от научна гледна точка. Всъщност увеличаването на броя на клетките в тялото ви – имунни клетки или други – не е непременно добро нещо.
Опитът за стимулиране на клетките на вашата имунна система е особено сложен, тъй като има толкова много различни видове клетки в имунната система, които реагират на толкова много различни микроби по толкова много начини. Кои клетки трябва да увеличите и до какъв брой? Засега учените не знаят отговора! Това, което е известно, е, че тялото непрекъснато генерира имунни клетки.
Разбира се, той произвежда много повече лимфоцити, отколкото евентуално може да използва. Допълнителните клетки се отстраняват чрез естествен процес на клетъчна смърт, наречен апоптоза – някои преди да видят някакво действие, други след победата в битката. Никой не знае колко клетки или каква най-добра комбинация от клетки е необходима на имунната система, за да функционира на оптималното си ниво.

Имунна система и възрастта
С напредването на възрастта способността ни за имунен отговор намалява, което от своя страна допринася за повече инфекции. С увеличаването на продължителността на живота в развитите страни нараства и честотата на свързаните с възрастта състояния. Докато някои хора остаряват, заключението на много проучвания е, че в сравнение с по-младите хора, възрастните хора са по-склонни да заразят инфекциозни заболявания и, което е още по-важно, по-вероятно да умрат от тях.
Респираторните инфекции, грипът, вирусът COVID-19 и особено пневмонията са водеща причина за смърт при хора над 65 години по света. Никой не знае със сигурност защо се случва това, но някои учени наблюдават, че този повишен риск корелира с намаляване на Т-клетките, вероятно от тимуса, атрофиращ с възрастта и произвеждащ по-малко Т-клетки за борба с инфекцията.
Дали това намаляване на функцията на тимуса обяснява спада на Т-клетките или други промени играят роля не е напълно изяснено. Други се интересуват от това дали костният мозък става по-малко ефективен при производството на стволови клетки, които пораждат клетките на имунната система.
ИМУНОСТИМУЛАТОРИ
Изглежда, че има връзка между храненето и имунитета при възрастните хора. Форма на недохранване, която е изненадващо разпространена дори в богатите страни, е известна като „недохранване с микроелементи“. Недохранването с микроелементи, при което човек има недостиг на някои основни витамини и микроелементи, които се получават от или допълват с диета, може да се случи при възрастни хора.
Възрастните хора са склонни да ядат по-малко и често имат по-малко разнообразие в диетата си. Един важен въпрос е дали хранителните добавки могат да помогнат на възрастните хора да поддържат по-здрава имунна система.
Диета и вашата имунна система

Както всяка бойна сила, армията на имунната система марширува по корем. Здравите воини на имунната система се нуждаят от добро, редовно хранене. Учените отдавна са признали, че хората, които живеят в бедност и са недохранени, са по-уязвими към инфекциозни заболявания.
Дали обаче повишената честота на заболяванията е причинена от ефекта на недохранването върху имунната система, не е сигурно. Все още има сравнително малко проучвания за ефектите от храненето върху имунната система на хората. Има някои доказателства, че различни дефицити на микроелементи – например дефицит на цинк, селен, желязо, мед, фолиева киселина и витамини А, В-6, С и Е – променят имунния отговор при животните.
Въпреки това въздействието на тези промени в имунната система върху здравето на животните е по-малко ясно и ефектът от подобни недостатъци върху човешкия имунен отговор все още не е оценен. И така, какво можете да направите? Ако подозирате, че вашата диета не ви осигурява всички ваши нужди от микроелементи – може би например не харесвате зеленчуци – приемането на ежедневна мултивитаминна и минерална добавка може да донесе други ползи за здравето, освен евентуално благоприятни ефекти върху имунната система. Приемането на мегадози от един витамин не го прави. Повече не е непременно по-добре.
Стрес и имунна функция
Съвременната биология и медицина са оценили тясно свързаната връзка между духа и тялото. Голямо разнообразие от болести, включително стомашно разстройство, копривна треска и дори сърдечни заболявания, са свързани с последиците от емоционалния стрес. Въпреки предизвикателствата, учените активно изучават връзката между стреса и имунната функция.
От една страна, стресът е трудно да се определи. Това, което може да изглежда стресова ситуация за един човек, не е за друг. Когато хората са изложени на ситуации, които смятат за стресиращи, за тях е трудно да измерват колко стрес изпитват, а за учения е трудно да разберат дали субективното впечатление на човека за размера на стреса е точно. Ученият може да измерва само неща, които могат да отразяват стреса, като например колко пъти сърцето бие всяка минута, но такива мерки могат да отразяват и други фактори.
Повечето учени, изучаващи връзката на стреса и имунната функция, обаче не изучават внезапен, краткотраен стресор; по-скоро те се опитват да изучават по-постоянни и чести стресови фактори, известни като хроничен стрес, като този, причинен от взаимоотношения със семейството, приятели и колеги, или постоянни предизвикателства, за да се представя добре в работата си. Някои учени изследват дали продължаващият стрес отразява имунната система.
Дали студът ви дава слаба имунна система?
Почти всяка майка го е казала: „Носете яке или ще настинете!“ Права ли е? Вероятно не, излагането на умерени ниски температури не увеличава вашата податливост към инфекция. Има две причини, поради които зимата е „сезон на простуда и грип“. През зимата хората прекарват повече време на закрито, в по-близък контакт с други хора, които могат да предадат своите микроби.
Също така грипният вирус остава по-дълго във въздуха, когато въздухът е студен и по-малко влажен. Но изследователите продължават да се интересуват от този въпрос при различни популации. Някои експерименти с мишки предполагат, че излагането на студ може да намали способността за справяне с инфекцията. Но какво да кажем за хората? Учените са потапяли хора в студена вода и са карали другите да седят разголени при ниски температури. Те са изучавали хора, които са живели в Антарктида, и тези в експедиции в канадските Скалисти планини.
Резултатите са смесени. Например, изследователите документират увеличаване на инфекциите на горните дихателни пътища при състезателни ски бягащи, които тренират енергично в студа, но дали тези инфекции се дължат на студа или други фактори – като интензивното упражнение или сухотата на въздуха – е не се знае.
Упражнения: добро или лошо е това за имунитета?
Редовните упражнения са един от стълбовете на здравословния начин на живот. Те подобряват сърдечно-съдовото здраве, понижават кръвното налягане, помагат за контрол на телесното тегло и предпазват от различни заболявания.
Но помага ли спорта да засилите естествено имунната си система и да я поддържате здрава? Подобно на здравословната диета, упражненията могат да допринесат за общо добро здраве и следователно за здрава имунна система. Това може да допринесе още по-пряко, като насърчава доброто кръвообращение, което позволява на клетките и веществата на имунната система да се движат свободно през тялото и да вършат ефективно работата си. Следователно, спортувайте редовно, яжте балансирано, ползвайте хранителни добавки за силен имунитет. Аз лично вярвам, че науката скоро ще докаже пряката връзка между храненето, суплеентирането и спорта. А до тук – мога поне да споделя, че всеки мой клиент, който се движи по „Клубно членство“ не се е разболял нито веднъж. Това е факт, който не мога да пропусна!







4 коментара